Sesamoiditis is a leading cause of lameness in young Thoroughbred racehorses – but improvements in technology over the last few years mean that it can now be detected much earlier.
The sesamoid bones are triangular bones at the back of the fetlock joint. They support the fetlock joint, protect the suspensory ligament and play an important role in movement and stability of the horse’s legs. They also experience significant stress during high-impact activities such as running and jumping. Sesamoiditis refers to inflammation and injury of the sesamoid bones, and it can lead to pain, changes in the bone structure, and lameness.
How it develops
It is fairly common: about 20 per cent of yearlings have sesamoiditis, according to Dr. Brian Van Arem, a track vet at Woodbine. “There is quite a bit of it out there.”

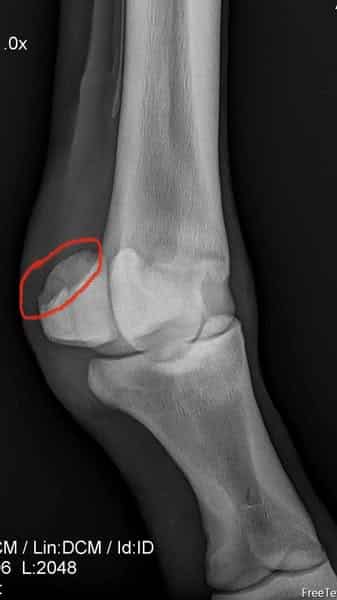
Severe cases of sesamoiditis may also show calcification of the soft tissue structures around the area, or an avulsion fracture (small piece) coming off the sesamoid. (Hagyard Facebook photo)
There are a number of factors that go into how sesamoiditis develops, Van Arem said. With yearlings and weanlings, that includes a change in diet – getting too much high-energy food – and too much exercise at that period of time in their growth. Injuries to the surrounding ligaments, additional stress on the limbs from a horse being overweight, and genetics could also play a part.
Some conformational traits will also lead to sesamoiditis, said Dr. Michael Hore, an equine veterinarian at Hagyard Equine Medical Institute in Lexington. “Being toe-in or toe-out, or long pasterns, puts more pressure on the sesamoid bone,” he said. “So we probably see an increased incidence of sesamoid changes in horses that have poor conformation.”
Diagnosis comes through radiographs; in Canada, all Thoroughbred yearlings at the Canadian sale are x-rayed ahead of time, and veterinarians will look at the x-rays and diagnose sesamoiditis at that point.
Technological advances
Hore was educated in Ireland and has been based in Kentucky for the last 20 years. He primarily works with Thoroughbreds and said that sesamoiditis is “probably our number one issue in young horses. The most common reason for catastrophic injury in racehorses is their sesamoid breaking.”
Increased use of PET, CT and MRI scans in the last five years has meant that diagnoses are now possible at a much earlier stage of sesamoiditis than before, Hore said.
“That’s been a big game-changer for us on the racetrack, and racetrack safety and decreasing breakdowns,” Hore said. It’s quite common for sesamoid bones to look totally normal on an X-ray, he noted, but for a PET scan to show uptake (inflammation) in the centre of the sesamoid. “If you kept that horse in racing, the risk of breakdown was much higher than we previously knew.”
Hore is also a co-author on a 2025 study that used machine learning to detect and grade sesamoiditis from radiographs. The study’s research team was able to train models to identify and grade sesamoiditis, rating cases from ‘none’ to ‘mild’ to ‘moderate’. This technology could help veterinarians that may be less comfortable interpreting radiographs, Hore said, or simply serve as a second set of eyes.
Available treatments
Treatment for sesamoiditis includes rest, anti-inflammatory medications, and a slow return to work.
“Give the horse some time. Back off its training… back off the amount of exercise it’s getting, and maybe decrease the amount of feed that it’s on as well,” Van Arem said. “Let the body catch up to itself.”
Hore also stresses the importance of time to heal. “Rest is a big one.”
While some horse people have been using shockwave therapy and PRP (platelet-rich plasma) injections for sesamoiditis, the research isn’t there yet to confirm if it’s actually helping, Hore said.
Prognosis
The prognosis for horses with sesamoiditis depends on the severity of the condition, as well as exactly what’s taking place. If the horse develops lameness from sesamoiditis, their prognosis is poor and they may never return to the same level of previous work. Alternately, some horses may not exhibit lameness, but have X-rays that show changes associated with sesamoiditis.
There’s a grading system for sesamoiditis, measured by the increase of the vascular channels in proximal sesamoid bones.
“Just because you have sesamoiditis doesn’t really mean a whole lot, unless you get some more clarity as to the size of the vascular channels and any changes in the sesamoid bones themselves,” said Van Arem.
With sesamoiditis that grades between zero to two, “you’re just aware of the fact that you might have a yearling that might need a little bit more time,” Van Arem said. “Grade three, you’re going to have a decreased chance of running that horse as a two-year-old.” He also wouldn’t be as concerned about sesamoiditis in the hindlimbs as the front end, he said.
The prognosis is good if you give the horse a bit of time to let the sesamoids heal, said Van Arem. “But also…. you have to look and see, are there changes in the sesamoid bones themselves? Are you seeing fragments off the sesamoid bone… that’s also going to decrease your prognosis.”
Changes to the sesamoid bones can have a varying effect. Commonly identified issues with sesamoids include abnormalities of vascular channels, lucencies, abaxial bone formation, and abaxial margin concavity. Recent research out of Colorado State University (CSU) has investigated how these specifics issues impact or limit future performance.
A 2024 study out of CSU, which looked at 2,508 yearlings and 436 two-year-olds, determined that “Grade 3 vascular channels, forelimb sesamoid abaxial new bone and forelimb sesamoid fragments are important findings in sales repository radiology,” and that, in yearlings, these issues were associated with a significantly reduced probability of starting a race. On the other hand, “abaxial concavity occurred predominantly in yearling medial forelimb sesamoids, had no impact on racing performance and mostly resolved by two-year-old sale.”
There’s also a serious risk of lameness via the suspensory ligament: a 2014 study found that “evidence of significant sesamoiditis implies a five times greater risk of developing clinical suspensory ligament branch injury” with the onset of early racehorse training.
When there is sesamoiditis, Hore said, “we perform an ultrasound on that area where the suspensory comes in and attaches…. It’s a good indication, if they have a lesion or a problem or inflammation in that suspensory branch, they’re definitely the type of horse that we want to shut down exercise for a while and try and rehab that.”
As with most things, the key is early detection. “Keep on top of it,” Hore said. If they’re identified as having moderate sesamoiditis around the time they turn one, “we can kind of keep on top of those,” Hore remarked, “and all year, as they turn one and on to two, try and do what’s best for them before they go into full training.”
The Latest








